Записаться на консультацию к главному врачу

Рассрочка до 36

месяцев

Период рассрочки от 3 до 36 мес.

до 200 000

рублей

150 000 руб Вы оплачиваете перед операцией и далее комфортными ежемесячными платежами от 8124 руб. (на срок 36 мес)

Все и сразу

Решение и оформление в момент приема нужен только паспорт

Решение по заявлению на рассрочку принимается во время первичной консультации, документы рассрочки оформляются прямо в клинике

- 13%

возврат НДФЛ

По суммам оплат, произведенным за высокотехнологичное лечение, гражданин или его близкий родственник, понесший расходы, может получить налоговый вычет и вернуть уплаченный НДФЛ

Что такое ALL-ON-4?

Все на 4/All on 4 - это методика полного восстановления зубов на одной челюсти за один день. При таком подходе вы получите новые зубы уже через 4-5 часов после начала процедуры, но главное - этими зубами можно сразу жевать. Адаптационный период приживления имплантов длится полгода, и за это время вашему протезу будут периодически утраивать перебазировку - подгонку под изменяющийся контур челюсти.

В чем отличие от классических методов протезирования на имплантах?

Иплантация на 4-х опорах выделяется необычной установкой искусственных корней по углом до 45 градусов. Такая постановка позволяет удлинять протеза до 12-14 зубов, в то время как при классической имплантации их всего 10. В тоже время, уменьшается само хирургическое вмешательство, так как 8-10 имплантов заменяются всего 4.

all on 4 в рассрочку Медалл

Мне будет больно?

Нет! Вы будете чувствовать себя комфортно как по время манипуляций, так и после операции. В наш век боль можно регулировать как громкость на телефоне - вплоть до полного выключения. Это касается также других видов чувствительности, и даже воспоминаний о проведенной процедуре. 
Мы рекомендуем нашим пациентам (особенно тем, кто боится стоматологов), лечиться в состоянии медикаментозного сна. Это будет равносильно тому, как вы засыпаете вечером и просыпаетесь утром, с одной лишь разницей - у вас будут новые зубы!

Сразу ответим на популярные вопросы, задаваемые анестезиологу:

Действительно ли общая анестезия действует не на всех? Это не так. Дозировка анестетиков формируется из массы тела пациента и продолжительности хирургического вмешательства. Мы используем специальный монитор глубины анестезии, на котором доктор видит как протекает ваш сон.

Правда ли, что применение анестезиологических препаратов ухудшает память и плохо влияет на здоровье? Нет. Временные расстройства возможны лишь первые 60-90 минут после анестезии, поэтому мы помещаем пациента на это время в послеоперационную палату под наблюдение врача и медицинской сестры.

Проснусь ли я после наркоза? Проснетесь. Медикаментозный сон – это хорошо отработанный, четко контролируемый и вполне безопасный процесс, а персонал нашего центра прекрасно подготовлен к любым неожиданностям, и обладает достаточной квалификацией для того, чтобы вы могли доверить нам свою жизнь.

Почему такая цена?

Цена внешне простых манипуляций и небольшого количества расходных материалов обусловлена применением высокотехнологичного специального оборудования, качеством используемых материалов, комплексностью подхода к лечению и мастерства всей команды врачей. 
Что касается нас, то мы решаем не только текущую задачу - вернуть зубы, но и предопределяем и исправляем будущие, что помогает сократить срок лечения и надеяться на стабильный отличный результат.
Пациенты, которым показано Allon4 как правило имеют изменения в работе височно-нижнечелюстных суставов. Без сложного протокола ортопедической диагностики и подготовки невозможно правильно установить несъемную конструкцию. Это равносильно тому, что на вашу машину поставили колеса разного диаметра, да еще и не прикрутили как следует. Ехать машина будет, но как долго и безопасно?

хирургический шаблон Medall

География Наших пациентов

Другие предложения от главного врача центра 

Черного Дмитрия Александровича

Дмитрий Черный Медалл
диагностика и планирование

подготовка плана лечения для полной реабилитации

От 30000 руб.
  • 3D КЛКТ, ЦИФРОВОЕ СКАНИРОВАНИЕ 3SHAPE
  • Диагностические слепки, модели
  • работа с аналоговым артикулятором
  • восковое моделирование
  • 3d планирование в цифровом артикуляторе
  • Анимация
Одиночная имплантация зуба/зубов

имплантация отсутствующих зубов

От 40000 руб.
  • восстановление зубного ряда
  • ликвидация одиночных дефектов
  • сохранение естественной формы десны
  • полноценная жевательная функция
  • естественный внешний вид искусственного зуба
  • Анимация
синус-лифтинг/костная пластика

увеличение костной ткани для постановки импланта

От 18000 руб.
  • заКрытым и открытым способом
  • под анестезией и седацией
  • с использованием самых передовых техник и материалов
  • палаты послеоперационного наблюдения 
  • помощь в сложных ситуациях, при сильной атрофии косной ткани
имплантация одного зуба

Использование высокотехнологичных имплантатов Nobel Biocare, OSSTEM, MIS и др. с процентом "вживляемости" искусственного корня в кость до 99%. Реабилитация подходит для пациентов с достаточным объемом костной ткани при одном или нескольких отсутствующих зубах. При дефиците костной ткани перед имплантацией может потребоваться костная пластика. *

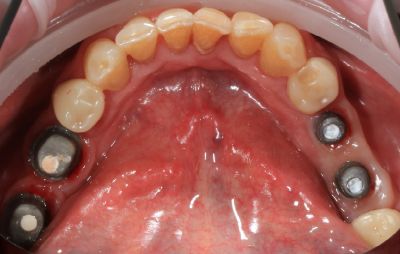
протезирование на 4-х, 6 или 8 опорах (имплантах)

Использование концепций на основе 4, 6 или 8 имплантатах (по медицинским показаниям) Nobel Biocare, OSSTEM, MIS  с применением балочных ортопедических несъемных конструкций (протезов) позволит решить проблемы пациентам с полным либо частичным отсутствием зубов, а также при подвижности зубов(пародонтите), пациентам использующим съемный протез.

ГАРАНТИЯ

Гарантия на импланты для ALL-ON-4® и других систем - пожизненная. При этом гарантия на постоянный протез варьируется от 5 до 7 лет. Сроки службы зависят от силы нагрузок и качества гигиены протеза. Однако практические исследования и отзывы пациентов, которым проводилась процедура, показывает, что данная конструкция может служить десятки лет вместе с протезом, и при этом не вызывает никаких неудобств, а наоборот, улучшает качество жизни!

Кому подходит 
протезирование на 4,6 или 8 опорах (имплантатах)

пациентам с полной адентией (отсутствием зубов)
пациентам с частичной адентией
при подвижности зубов
пациентам использующим съемный протез


УЛЫБАЮСЬ СВОБОДНО И ОТКРЫТО

Восстановление широкой улыбки в день операции. Больше не надо прикрывать рот ладонью!

КУШАЮ В УДОВОЛЬСТВИЕ

Жевать новыми зубами можно и нужно сразу после операции. Естественные нагрузки помогут быстрее привыкнуть к новым зубам

ПОМОЛОДЕЛ НА 10 ЛЕТ!
Расправляются складки на лице, у щек появляется естественная опора, благодаря чему исчезает "старческое лицо"

Быстрое улучшение качества жизни

Установка несъемного полного протеза в день операции способствует быстрому
улучшению качества жизни пациента
с точки зрения функции, эстетики, чувствительности,
речи и самооценки.

Сокращенные сроки лечения

Установка дистальных имплантатов под углом исключает необходимость
проведения длительных костнопластических вмешательств, а немедленная нагрузка
быстро восстанавливает жевательную функцию.

Меньшая стоимость лечения

Данная концепция представляет собой наиболее экономичное решение по сравнению с традиционными

протоколами имплантации при полном отсутствии зубов.

Описание концепции 
All-on-4® от Nobel Biocare


Этапы проведения протезирования 
на 4,6 либо 8 опорах (имплантатах)

Этап 1. Подготовка

На этапе подготовки к реализации протокола  вам сделают общие анализы крови, а также конусно-лучевую томографию (КЛКТ), которая необходима для определения оптимальных мест для размещения имплантов в челюсти. На основе снимка КЛКТ в специальной программе вам составят цифровой диагностический план вашего лечения.

Этап 2. Хирургический этап

Установка имплантатов проводится при использовании специального хирургического шаблона. Этот шаблон позволит хирургу-имплантологу установить имплантаты в челюсть в заранее спланированное место, под абсолютно правильным углом и на заранее определенную глубину с точностью до долей миллиметра.
Во время операции вам устанавливают в челюсть 4,6 либо 8 имплантатов. Если на момент операции в челюсти находятся зубы, подлежащие удалению, то их (непосредственно перед имплантацией) удалят. Далее вы отдыхаете после операции в индивидуальной палате под наблюдением медицинской сестры и врача-анестезиолога, а в это время зубной техник в зуботехнической лаборатории изготавливает вам временный несъемный протез (состоящий из 10-14 искусственных зубов).

Этап 3. фиксация временного протеза

Через 3-5 часов после операции на ваших имплантатах врач зафиксирует временный несъемный протез из высококачественной акриловой пластмассы, и вы сможете покинуть клинику. В течение следующих 10 дней вам будет необходимо 1-2 раза приехать в клинику на повторный осмотр и снятие швов. Практически сразу вы сможете жевать пищу умеренной жесткости, что также ускорит процесс приживляемости имплантатов.

Этап 4. Постоянное протезирование

Замена временного протеза на постоянный производится через 3-6 месяцев с момента операции и зависит от скорости приживления имплантатов. Несмотря на то, что временный протез может служить Вам до 3х лет, если вдруг по финансовым причинам вы не сможете в такой срок позволить себе изготовление постоянного несъемного протеза, мы рекомендуем установку постоянного протеза ввиду его гораздо более качественного исполнения, лучшего внешнего вида и функциональности.
Изготовление временных и постоянных протезов для большинства концепций производится прямо в зубо-технической лаборатории MEDALL, однако для протокола Allon4 постоянный протез выполняется на оригинальной балке Procera, обеспечивающей существенно большую надежность конструкции  и будет состоять уже не из 10, а из 12-14 искусственных зубов, и сделан не из акриловой пластмассы, а из металлопластмассы, металлокерамики, либо диоксида циркония (безметалловой керамики). Последний вариант стоит весьма дорого, но обладает потрясающей эстетикой и практически не отличим от настоящих зубов.

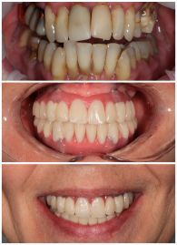
Полная реабилитация

Клинические случаи 

Максимальная эстетика и функция в день операции

ДМИТРИЙ АЛЕКСАНДРОВИЧ ЧЕРНЫЙ

Основой эффективного лечения считаю диагностику с применением передовых технологий и аппаратов.

Специализируюсь на реабилитации пациентов с помощью современных и эффективных протоколов лечения: одномоментной имплантацией с немедленной ортопедической нагрузкой.

1992-1994г. Нахимовское Военно-морское училище
1994-1995г. Заведующий виварием 32 ЦВМКГ
1995-2001г. Военно-медицинская академия «Лечебное дело»
1998-2002г. Практика в режиме врача-интерна на отделении Челюстно-лицевой хирургии и стоматологии 442ОВКГ
2001-2002г. Интернатура по специальности «Хирургия»
2002-2003г. Начальник медицинской службы и внештатный стоматолог экипажа строящегося корабля для ВМС Индии
2003г. Профессиональная переподготовка по Челюстно-лицевой хирургии ВМА
2003-2004г. Дивизионный врач дивизиона строящихся подводных лодок СПб
2004-2007г. Флагманский врач бригады строящихся кораблей СПб
2005-2008г. Хирург-пародонтолог в стом.отделении МаПо и «Стоматологическом Центре Города»
2007-2011г. Стоматологический факультет университета им. Ярослава Мудрого «Стоматология»
2011-2012г. Интернатура по специальности «Стоматология общей практики»
2012-2015г. Профессиональная переподготовка по направлениям "Ортопедия", "Хирургическая стоматология" и "Терапия" на  Стоматологическом факультете университета им. Ярослава Мудрого
2015-2016г. Профессиональная переподготовка по организации здравоохранение
2008-2015г. Заведующий отделением стоматологии «Медицинский Центр Города», 
С 2015г. Главный врач и соучредитель клиники «Медицинский Центр Города», Основатель центра практической подготовки врачей и среднего персонала «Гроссмастер».
2018г. Внешний соискатель на ученую степень кандидат медицинских наук кафедры Челюстно-лицевой хирургии и стоматологии ВМА
2018г. Главный врач и соучредитель клиники «Медалл» на Левашовском проспекте, 24

Инновационные технологии: Лечение под микроскопом. Имплантация и костная пластика. Эстетическая имплантология. Протезирование на имплантатах. Препарирование под ортопедические временные конструкции. Эстетические и функциональные непрямые реставрации. Прямая реставрация зубов. Использование цифрового и аналогового артикуляторов.
Организаторская деятельность: организация лечебного, учебного и научного процесса, освоение и внедрение современных высокоэффективных методик лечения, создание и отработка команд специалистов для решения различных задач клинического приема, управление стоматологической клиникой (влияние на постоянное улучшение качества оказываемой помощи на этапах первичной диагностики, выбора оптимального плана в каждой индивидуальной ситуации, составление «дорожной карты» лечения, контроль на каждом этапе, активация гарантийного периода, постгарантийное обслуживание). Преподавательская и лекционная деятельность
Клинический прием: составление комплексных планов лечения, проведение диагностики, высокотехнологичное терапевтическое, хирургическое, ортопедическое лечение.

Ортопедия: Щадящая обработка зубов с применением микроскопа. Цифровое планирование и протезирование на имплантатах от одиночной коронки до полностью беззубых челюстей
Хирургия: Имплантация от классических случаев до сложных реконструкций.
Диагностика: полный анализ зубочелюстной системы в составе опорно-двигательного аппарата человека

 1. Распространенность и возрастные особенности клиновидных дефектов твердых тканей зуба у взрослых людей. (статья) Иорданишвили А.К., Черный Д.А., Дьяконов М.М., Черныш В.Ф. Вестник Российской Военно-медицинской академии 2015№2(50) СПб., 2015- С.15-18.
2. Распространенность некариозных поражений твердых тканей зубов у взрослого человека в разные возрастные периоды. (статья) Иорданишвили А.К., Черный Д.А. Янковский В.В., Орлов А.К., Дробкова К.О. Успехи Геронтологии 2015 Т.28 №2 СПб., 2015.- С. 393
3. Особенности клинического течения клиновидных дефектов твердых тканей зуба в разном возрасте Иорданишвили А.К., Рыжак Г.А. Черный Д.А. Актуальные проблемы стоматологии арктического региона, современные тенденции и перспективы диагностики, лечения и профилактики стоматологических заболеваний Материалы I Арктического стоматологического форума 29-30 октября 2015 г. Архангельск 2015 – С.116-119.
4. Способ подготовки полости зуба к пломбированию при лечении некариозных поражений у взрослых людей разных возрастных групп (тезисы) Черный Д.А. Дробкова К.О., Сериков А.А. 355.21 И 665 Министерство Обороны Российской Федерации Международная академия Авторов научных открытий и изобретений (Санкт- Петербургское отделение) Военная академия связи Инновационная деятельность Вооруженных Силах Российской Федерации Труды Всеармейской научно-практической конференции 24-25 сентября 2015 года – СПб., 2015- С131.
5. Методика препарирования зубов при лечении некариозных поражений у пожилых и старых людей Черный Д.А. Дробкова К.О., Сериков А.А. 355.21 И 665 Министерство Обороны Российской Федерации Международная академия Авторов научных открытий и изобретений (Санкт- Петербургское отделение) Военная академия связи Инновационная деятельность Вооруженных Силах Российской Федерации Труды Всеармейской научно-практической конференции 24-25 сентября 2015 года – СПб., 2015-С 130.
6. Способ оценки состояния твердых тканей зуба (тезисы) Черный Д.А. Дробкова К.О., Иорданишвили А.К., Карев Ф.А., Солдаткина А.С., Тынюк С.Ю. 355.21 И 665 Министерство Обороны Российской Федерации Международная академия Авторов научных открытий и изобретений (Санкт- Петербургское отделение) Военная академия связи Инновационная деятельность Вооруженных Силах Российской Федерации Труды Всеармейской научно-практической конференции 24-25 сентября 2015 года – СПб., 2015- С.129.
7. Некариозные поражения твердых тканей зубов у лиц старших возрастных групп (тезисы) Черный Д.А., Дробкова К.О.,Янковский В.В., Орлов А.К., Иорданишвили А.К., Пологайко М.П.  Донозоология-2015 Проблемы оценки прогнозирования состояния индивидуального и популяционного здоровья при воздействии факторов риска Материалы одиннадцатой Евразийской научной конференции –СПб., 2015.-С. 527.
8. Возрастные особенности встречаемости некариозной патологии зубов(тезисы) Черный Д.А., Дробкова К.О., Карев Ф.А. Донозоология-2015 Проблемы оценки прогнозирования состояния индивидуального и популяционного здоровья при воздействии факторов риска Материалы одиннадцатой Евразийской научной конференции –СПб., 2015.- С.525-527.
9. Клиновидные дефекты у пожилых и старых людей (тезисы)
Черный Д.А., Дробкова К.О., Карев Ф.А. Донозоология-2015 Проблемы оценки прогнозирования состояния индивидуального и популяционного здоровья при воздействии факторов риска Материалы одиннадцатой Евразийской научной конференции –СПб., 2015.- С.524.
10. Особенности распространенности некариозных поражений зубов (тезисы) Иорданишвили А.К., Дробкова К.О., Солдатова Л.Н., Черный Д.А. Военно- медицинская академия им. Кирова факультет руководящего медицинского состава. Материалы итоговой конференции военно- научного общества слушателей факультета руководящего медицинского состава СПб., 2016. – С.76-77.
11. Клиническое течение некоторых некариозных поражений твердых тканей зубов у взрослых жителей Санкт-Петербурга и Ленинградской области (тезисы) Иорданишвили А.К., Янковский В.В., Орлов А.К., Дробкова К.О. , Черный Д.А. История и перспективы отечественной гигиенической науки и практики ( Материалы Всероссийской научно-практической конференции, посвященной 150-летию кафедры общей и военной гигиены с курсом военно- морской и радиационной гигиены Военно-медицинской академии им. С.М. Кирова - СПб., 23-24 апреля 2015г. – С.209-210.

Удостоверение на рационализаторское предложение № 1340/4 15.08.2014 под наименованием «Способ оценки интенсивности течения некариозных поражений зубов».
Удостоверение на рационализаторское предложение № 1341/4 20.08.2014 под наименованием «Способ определения распрастраненности течения некариозных поражений зубов».
Удостоверение на рационализаторское предложение № 1342/4 20.08.2014 под наименованием «Способ комплексного лечения некариозных поражений зубов и профилактики гиперэстезии зубов».
Удостоверение на рационализаторское предложение № 1343/4 22.08.2014 под наименованием «Способ повышения эффективности лечения некариозных поражений зубов у людей пожилого и старческого возраста».
Удостоверение на рационализаторское предложение № 1344/4 25.08.2014 под наименованием «Способ одонтопрепарирования при лечении некариозных поражений зубов».


Партнеры

ВСЕГДА НА ПИКЕ ФОРМЫ

Регулярное участие в качестве слушателя и  докладчика в Российских и международных конгрессах, семинарах, мастер-классах, позволяет доктору Черному Д.А. напрямую легко общаться со светилами мировой челюстно-лицевой хирургии и ортопедии, даёт уникальные возможности для перенимания опыта, знаний и самых последних современных методик, развития навыков и повышения уровня профессиональных компетенций, которые с успехом затем применяются уже в практической деятельности и выгодно отличает Дмитрия Александровича от других специалистов.


География авторских курсов, лекций и семинаров
Черного Д.А.

Ближайшие курсы, доклады доктора Черного Д.А.

Для получения предварительного решения по предоставлению рассрочки/кредита на услуги клиники Вам необходимо направить на email admin@medall.clinic заполненную анкету; 2 страницы паспорта (основную и регистрации), селфи, а также подтвердить мобильный телефон предоставив сотруднику клиники данные о поступившем на него коде-подтверждении.

Отделение стоматологии клиники MEDALL

Мы уже 12 лет занимаемся эстетической медициной и стоматологией и в 2019 году переехали в новое здание на Левашовском пр. 24, где открыли большую современную клинику. Сегодня мы одна из немногих клиник Санкт-Петербурга по оказанию услуг в области эстетической медицины и стоматологиии, которая полностью соответствует новым жёстким требованиям Минздрава России. В клинике оборудованы кабинет ренгенологии и компьютерной томографии, лаборатория, комната хранения компонентов крови, палата интенсивной терапии и послеоперационного наблюдения, комфортные одноместные палаты и многое другое.

Контакты